团队绝大多数都是数学专业毕业的,,,,拥有20余年的原创性算法设计和开发经验,,所有算法都已应用于大中型企业,,一些算法填补了业界空白。。。。在算法方面为软件企业和需求方提供基于具体场景的算法设计和开发服务,,,,包括但不限于视觉识别方面的人工智能算法。。。
已于青岛2024年啤酒节首次使用。。。通过实时视频对人流进行识别、、、、区域范围内排队人数进行识别,,,,以及上下车人数进行识别,,用于大调度和实时调度提供辅助决策支持。。。
利用AI视觉技术实现生产环境下疑似违规行为的识别告警,,,,提供通用场景算法以及专用需求算法的智能分析。。。
已成功应用于公交集团,,并成为省市级大数据应用典范,,,通过AI算法,,结合调度、、区间时段电价、、、、以及电池性能生命周期,,,,智能安排车辆充电时间、、、、对应充电枪以及充电电量,,,,在满足业务需求的同时,,,,达到电费最省。。。
已应用于发票、、、、票据、、血压、、、水电燃气等仪表数据的数字、、、、字母、、、、中文、、日文的OCR识别。。
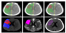
已应用于西医医疗设备医疗诊断和中医诊断,,,,为诊疗提供辅助决策支持。。。。